产品描述:Rabbit polyclonal antibody to IL-1 beta免疫原:KLH-conjugated synthetic peptide encompassing a sequence within the center region of human IL-1 beta. The exact sequence is proprietary.纯化方式:The antibody was purified by immunogen affinity chromatography.克隆类型:Polyclonal产品形式:Liquid in 0.42% Potassium phosphate, 0.87% Sodium chloride, pH 7.3, 30% glycerol, and 0.01% sodium azide.稀释比:WB (1/500 - 1/1000), IH (1/100 - 1/200)基因名称:IL1B相关名称:IL1F2; Interleukin-1 beta; IL-1 beta; Catabolin
基因编号(人):
3553;
蛋白编号(人):
P01584;
储存效期:Shipped at 4°C. Upon delivery aliquot and store at -20°C for one year. Avoid freeze/thaw cycles.
-
Western blot analysis of IL-1 beta expression in Raw264.7 (A), mouse spleen (B), rat spleen (C), rat thymus (D), mouse thymus (E), Jurkat (F), THP1 (G) whole cell lysates. (Predicted band size: 30 kD; Observed band size: 43; 35; 17 kD) -
Immunohistochemical analysis of IL-1 beta staining in human lung cancer formalin fixed paraffin embedded tissue section. The section was pre-treated using heat mediated antigen retrieval with sodium citrate buffer (pH 6.0). The section was then incubated with the antibody at room temperature and detected using an HRP conjugated compact polymer system. DAB was used as the chromogen. The section was then counterstained with haematoxylin and mounted with DPX.
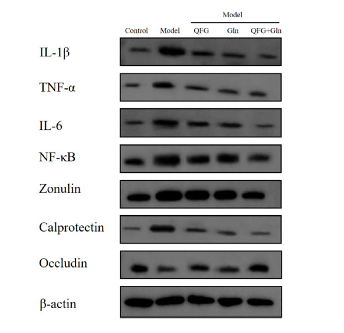
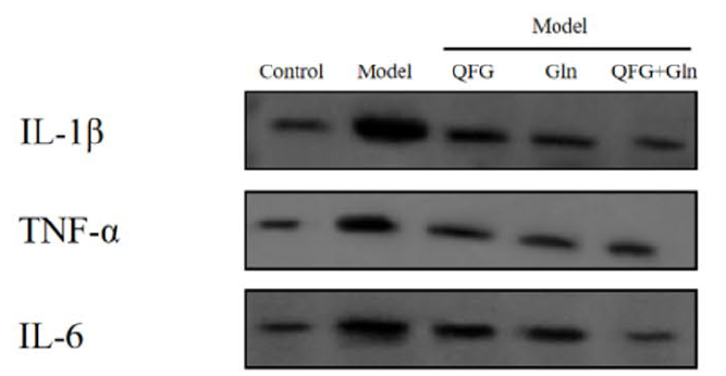
Qingxie Fuzheng granules attenuate cancer cachexia by restoring gut microbiota homeostasis and suppressing IL-6/NF-κB signaling in colorectal adenocarcinoma
Qingjie Fuzheng granules attenuate cancer cachexia by restoring gut microbiota homeostasis and suppressing IL-6/NF-κB signaling in colorectal adenocarcinoma
NR4A1 attenuates neuroinflammation after spinal cord injury by modulating microglial polarization via negatively regulating the VAV1 pathway


说明书
MSDS

