产品描述:Rabbit polyclonal antibody to p16 INK4a免疫原:KLH-conjugated synthetic peptide encompassing a sequence within the N-term region of human p16 INK4a. The exact sequence is proprietary.纯化方式:The antibody was purified by immunogen affinity chromatography.克隆类型:Polyclonal产品形式:Liquid in 0.42% Potassium phosphate, 0.87% Sodium chloride, pH 7.3, 30% glycerol, and 0.01% sodium azide.稀释比:WB (1/500 - 1/1000), IH (1/50 - 1/100)基因名称:CDKN2A相关名称:CDKN2; MTS1; Cyclin-dependent kinase inhibitor 2A, isoforms 1/2/3; Cyclin-dependent kinase 4 inhibitor A; CDK4I; Multiple tumor suppressor 1; MTS-1; p16-INK4a; p16-INK4; p16INK4A
基因编号(人):
1029;
基因编号(小鼠):
12578;
基因编号(大鼠):
25163;
蛋白编号(人):
P42771;
蛋白编号(小鼠):
P51480;
蛋白编号(大鼠):
Q9R0Z3;
储存效期:Shipped at 4°C. Upon delivery aliquot and store at -20°C for one year. Avoid freeze/thaw cycles.
-
Western blot analysis of p16 INK4a expression in HEK293T (A), HeLa (B), mouse brain (C), rat brain (D) whole cell lysates. (Predicted band size: 16 kD; Observed band size: 20 kD ) -
Immunohistochemical analysis of p16 INK4a staining in human colorectal cancer formalin fixed paraffin embedded tissue section. The section was pre-treated using heat mediated antigen retrieval with sodium citrate buffer (pH 6.0). The section was then incubated with the antibody at room temperature and detected using an HRP conjugated compact polymer system. DAB was used as the chromogen. The section was then counterstained with haematoxylin and mounted with DPX.
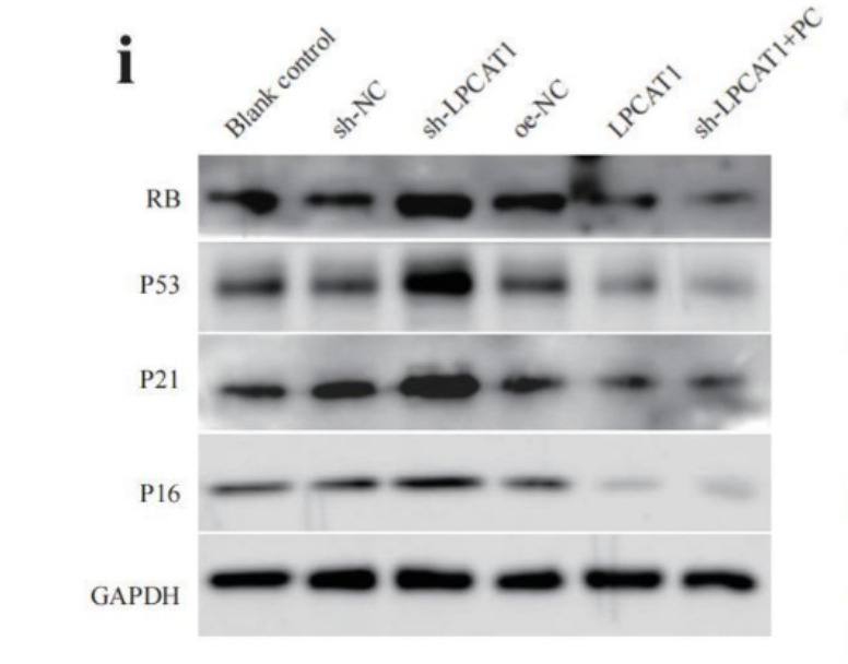
Palmitic acid induces lipid droplet accumulation and senescence in nucleus pulposus cells via ER-stress pathway
Multiomics analysis reveals the potential of LPCAT1-PC axis as a therapeutic target for human intervertebral disc degeneration


说明书
MSDS
