产品描述:Rabbit polyclonal antibody to RCK免疫原:KLH-conjugated synthetic peptide of human RCK. The exact sequence is proprietary.纯化方式:The antibody was purified by immunogen affinity chromatography.克隆类型:Polyclonal产品形式:Liquid in 0.42% Potassium phosphate, 0.87% Sodium chloride, pH 7.3, 30% glycerol, and 0.01% sodium azide.稀释比:WB (1/500 - 1/2000), IH (1/50 - 1/200), IF/IC (1/50 - 1/200)基因名称:DDX6相关名称:HLR2; RCK; Probable ATP-dependent RNA helicase DDX6; ATP-dependent RNA helicase p54; DEAD box protein 6; Oncogene RCK
基因编号(人):
1656;
基因编号(小鼠):
13209;
蛋白编号(人):
P26196;
蛋白编号(小鼠):
P54823;
储存效期:Shipped at 4°C. Upon delivery aliquot and store at -20°C for one year. Avoid freeze/thaw cycles.
-
Western blot analysis of RCK expression in HepG2 (A), NIH3T3 (B), rat spleen (C) whole cell lysates. (Predicted band size: 54 kD; Observed band size: 54 kD) -
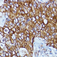
Immunohistochemical analysis of RCK staining in human breast cancer formalin fixed paraffin embedded tissue section. The section was pre-treated using heat mediated antigen retrieval with sodium citrate buffer (pH 6.0). The section was then incubated with the antibody at room temperature and detected using an HRP conjugated compact polymer system. DAB was used as the chromogen. The section was then counterstained with haematoxylin and mounted with DPX. -
Immunofluorescent analysis of RCK staining in L929 cells. Formalin-fixed cells were permeabilized with 0.1% Triton X-100 in TBS for 5-10 minutes and blocked with 3% BSA-PBS for 30 minutes at room temperature. Cells were probed with the primary antibody in 3% BSA-PBS and incubated overnight at 4 °C in a hidified chamber. Cells were washed with PBST and incubated with a Alexa Fluor 488-conjugated secondary antibody (green) in PBS at room temperature in the dark.


说明书
MSDS