产品描述:Rabbit polyclonal antibody to CaMK2 alpha免疫原:KLH-conjugated synthetic peptide of human CaMK2 alpha. The exact sequence is proprietary.纯化方式:The antibody was purified by immunogen affinity chromatography.克隆类型:Polyclonal产品形式:Liquid in 0.42% Potassium phosphate, 0.87% Sodium chloride, pH 7.3, 30% glycerol, and 0.01% sodium azide.稀释比:WB (1/500 - 1/2000), IF/IC (1/50 - 1/200)基因名称:CAMK2A相关名称:CAMKA; KIAA0968; Calcium/calmodulin-dependent protein kinase type II subunit alpha; CaM kinase II subunit alpha; CaMK-II subunit alpha
基因编号(人):
815;
基因编号(小鼠):
12322;
基因编号(大鼠):
25400;
蛋白编号(人):
Q9UQM7;
蛋白编号(小鼠):
P11798;
蛋白编号(大鼠):
P11275;
储存效期:Shipped at 4°C. Upon delivery aliquot and store at -20°C for one year. Avoid freeze/thaw cycles.
-
Western blot analysis of CaMK2 alpha expression in HEK293T (A), mouse brain (B), rat lung (C) whole cell lysates. (Predicted band size: 54; 55 kD; Observed band size: 54 kD) -
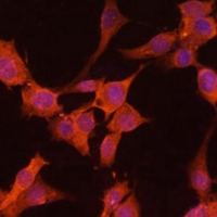
Immunofluorescent analysis of CaMK2 alpha staining in NIH3T3 cells. Formalin-fixed cells were permeabilized with 0.1% Triton X-100 in TBS for 5-10 minutes and blocked with 3% BSA-PBS for 30 minutes at room temperature. Cells were probed with the primary antibody in 3% BSA-PBS and incubated overnight at 4 °C in a hidified chamber. Cells were washed with PBST and incubated with a Alexa Fluor 594-conjugated secondary antibody (red) in PBS at room temperature in the dark.


说明书
MSDS