欢迎来到康何欣生物!
首页> 产品 > 一抗
CQA3125
  • Western blot analysis of RPL4 expression in HepG2 (A), MCF7 (B), mouse liver (C) whole cell lysates. (Predicted band size: 47 kD; Observed band size: 48 kD)
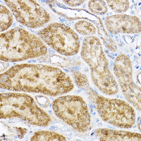
  • Immunohistochemical analysis of RPL4 staining in rat kidney formalin fixed paraffin embedded tissue section. The section was pre-treated using heat mediated antigen retrieval with sodium citrate buffer (pH 6.0). The section was then incubated with the antibody at room temperature and detected using an HRP conjugated compact polymer system. DAB was used as the chromogen. The section was then counterstained with haematoxylin and mounted with DPX.
产品名称:Anti-RPL4 Antibody
货号:CQA3125
来源:Rabbit
反应物种:H, M, R
实验应用:WB, IH
*反应物种注解:
H - Human, M - Mouse, R - Rat, B - Bovine, C - Chicken, D - Dog, G - Goat, Mk - Monkey, P - Pig, Rb - Rabbit, S - Sheep, Z - Zebrafish
*实验应用注解:
E- ELISA, WB - Western blot, IH - Immunohistochemistry, IF - Immunofluorescence, FC - Flow cytometry, IC - Immunocytochemistry, IP - Immunoprecipitation, ChIP - Chromatin Immunoprecipitation, EMSA - Electrophoretic Mobility Shift Assay, BL - Blocking, SE - Sandwich ELISA, CBE - Cell-based ELISA, RNAi - RNA interference
规格
价格(元)
200 μl
3500
100 μl
2200
50 μl
1500
30 μl
1100
Ship in 3 days
产品描述:Rabbit polyclonal antibody to RPL4
免疫原:Recombinant full length protein of human RPL4
纯化方式:The antibody was purified by immunogen affinity chromatography.
克隆类型:Polyclonal
产品形式:Liquid in 0.42% Potassium phosphate, 0.87% Sodium chloride, pH 7.3, 30% glycerol, and 0.01% sodium azide.
稀释比:WB (1/500 - 1/2000), IH (1/50 - 1/200)
基因名称:RPL4
相关名称:RPL1; 60S ribosomal protein L4; 60S ribosomal protein L1
基因编号(人): 6124;
基因编号(小鼠): 67891;
基因编号(大鼠): 64302;
蛋白编号(人): P36578;
蛋白编号(小鼠): Q9D8E6;
蛋白编号(大鼠): P50878;
储存效期:Shipped at 4°C. Upon delivery aliquot and store at -20°C for one year. Avoid freeze/thaw cycles.
  • Western blot analysis of RPL4 expression in HepG2 (A), MCF7 (B), mouse liver (C) whole cell lysates. (Predicted band size: 47 kD; Observed band size: 48 kD)
  • Immunohistochemical analysis of RPL4 staining in rat kidney formalin fixed paraffin embedded tissue section. The section was pre-treated using heat mediated antigen retrieval with sodium citrate buffer (pH 6.0). The section was then incubated with the antibody at room temperature and detected using an HRP conjugated compact polymer system. DAB was used as the chromogen. The section was then counterstained with haematoxylin and mounted with DPX.
苏州康何欣生物科技有限公司
Copyright © 2026 苏州康何欣生物科技有限公司. All Rights Reserved 苏ICP备2024141444号