产品描述:Rabbit polyclonal antibody to Sam50免疫原:Recombinant full length protein of human Sam50纯化方式:The antibody was purified by immunogen affinity chromatography.克隆类型:Polyclonal产品形式:Liquid in 0.42% Potassium phosphate, 0.87% Sodium chloride, pH 7.3, 30% glycerol, and 0.01% sodium azide.稀释比:WB (1/500 - 1/2000), IH (1/50 - 1/200)基因名称:SAMM50相关名称:SAM50; Sorting and assembly machinery component 50 homolog; Transformation-related gene 3 protein; TRG-3
基因编号(人):
25813;
基因编号(小鼠):
68653;
基因编号(大鼠):
300111;
蛋白编号(人):
Q9Y512;
蛋白编号(小鼠):
Q8BGH2;
蛋白编号(大鼠):
Q6AXV4;
储存效期:Shipped at 4°C. Upon delivery aliquot and store at -20°C for one year. Avoid freeze/thaw cycles.
-
Western blot analysis of Sam50 expression in A431 (A), HL60 (B), mouse heart (C) whole cell lysates. (Predicted band size: 51 kD; Observed band size: 55 kD) -
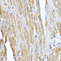
Immunohistochemical analysis of Sam50 staining in rat heart formalin fixed paraffin embedded tissue section. The section was pre-treated using heat mediated antigen retrieval with sodium citrate buffer (pH 6.0). The section was then incubated with the antibody at room temperature and detected using an HRP conjugated compact polymer system. DAB was used as the chromogen. The section was then counterstained with haematoxylin and mounted with DPX.


说明书
MSDS